News
Il tuo sorriso, la nostra missione
Estrazione denti del giudizio Legnano: come si esegue e a chi affidarsi
I denti del giudizio I denti del giudizio prima o poi causano problemi a molti italiani. C’è chi fin dalla sua comparsa ha necessità di farseli estrarre per problemi legati all’arcata dentale e chi, invece, non viene infastidito dalla sua presenza fino all’età adulta....
Riabilitazione orale Legnano: il Dr. La Rocca è uno specialista
Riabilitazione orale per un sorriso nuovo In qualsiasi ambiente, un lavoro mal strutturato avrà vita breve. Non sempre questa è una questione presa molto in considerazione da alcuni professionisti, ma se si sostituisce la parola “lavoro” con “intervento odontoiatrico”...
Gengive gonfie Legnano: risolvi i problemi con l’aiuto del Dr. La Rocca
Le gengive infiammate, una patologia comune La gengivite è lo stato infiammatorio delle gengive che, se non curato per tempo o nel modo corretto, può degenerare in patologie estremamente dolorose fino al coinvolgimento dei denti. Chi soffre di gengive gonfie e...
Denti storti Legnano: come sistemarli grazie all’aiuto del Dr. La Rocca
Sistemare denti storti I denti storti sono un problema estremamente comune in Italia. Oltre che a provocare imbarazzo nella vita di tutti i giorni, quando si incontrano persone nuove soprattutto, questa condizione può provocare anche disturbi fisici notevoli....
Denti bianchi Legnano con l’aiuto del dentista La Rocca
Sbiancamento dentale a Legnano Un sorriso bianco è un’arma molto potente quando si tratta di fare colpo. Non solo è bella da vedere, ma una dentatura curata è il primo segnale che ci fa capire un po’ di più di coloro che abbiamo di fronte e di come vogliono farsi...
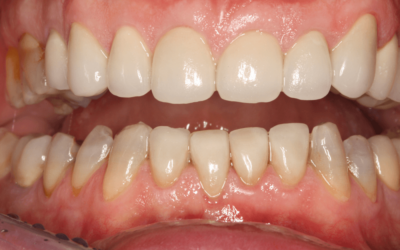
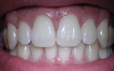
Protesi estetiche dentali Legnano dal Dottor La Rocca
Tutto quello che devi sapere sulle protesi estetiche dentali Il centro dentistico La Rocca è sempre attento a trovare le soluzioni migliori per i propri pazienti. Il Dottore ha sviluppato con anni di esperienza, tra le altre specializzazioni, anche tecniche...
Ozonoterapia Legnano: lo studio dentistico La Rocca è all’avanguardia
Dentista e ozonoterapia L’ozono è un gas di cui tutti hanno sentito parlare, ma sono in pochi coloro che sanno che viene anche utilizzato in molte pratiche mediche, tra cui quelle odontoiatriche. Esso, infatti, è perfetto per la cura di alcune patologie, la riduzione...
Laser dentale Legnano: una terapia innovativa dal Dottor La Rocca
Laser odontoiatrico Il terrore del dentista è una paura comune, spesso determinata da quei rumori fastidiosi delle apparecchiature che il professionista usa o del dolore che si potrebbe provare durante o dopo l’intervento del medico. La ricerca, tuttavia, è oggi...
Come avere denti perfetti Legnano: studio La Rocca
Sorriso perfetto a Legnano Avere un sorriso smagliante è un desiderio di tutti gli italiani, ma sono molte le cattive abitudini che compromettono l’avverarsi di questo sogno. Certo, non tutti possono permettersi interventi ricostruttivi o apparecchi per raddrizzare la...